Kumsal Kuaför'de Kaş Kesimi Sırasında Kanama Ve Ücret İadesi Talebi
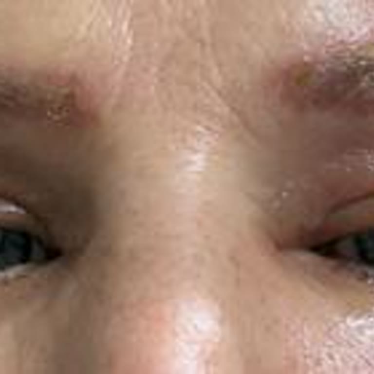
10 dakika önce kaş alımı için gittiğim Kumsal Kuaför’de yaşadığım deneyimi paylaşmak istiyorum. Özellikle sadece kaş alımı istediğimi belirttiğim halde, kaşımı bilerek çok incelttiler, işlem sırasında kaşımı kanattılar ve ortaya çıkan görüntüden hiç memnun kalmadım. Durumu fark edince devam ettirmek...


























Son Şikayetler