Fatma Kemal Timuçin Diş Hastanesi İmplant Düşüşü Ve Hakaretli Doktor Tutumu
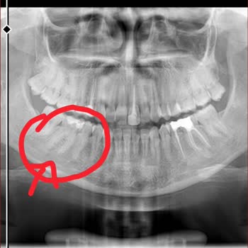
Adana Seyhan’daki Fatma Kemal Timuçin Diş Hastanesi’nde, doktor **** tarafından yapılan implant tedavim sırasında ve sonrasında hem sağlık açısından hem de davranış açısından çok olumsuz bir süreç yaşadım. İmplantlarımdan rahatsız olduğumu, sorun yaşadığımı doktora ilettiğimde, kendisi bana hakaret ...































devlet, implant