diş hastanesi, röntgen
Dr. Ali Kemal Belviranlı Kadın Doğum Hastanesi Sağlık Sistemimiz Hakkında

27.12.2023 tarihinde Konya Şehir Hastanesi'nden genel diş hekimliğine A**** T***** K***** doktora randevu aldım. Bir hafta kala doktor, nasıl oluyorsa benim randevumu iptal etmiş. Aradım, MHRS'yi, 'Bizlik değil, hastaneyi ara.' dediler. Hastaneyi aradım, 'Doktor iptal etmiş, doktoru ara.' dediler. S...
Üsküdar Üniversitesi Diş Hastanesi Hasta Mağduriyeti

25.12.2023 tarihinde Ağız ve Diş sağlığı hastanesine eşimi götürdüm 4 tane gömülü 20 lik diş i vardı ve götürmeden önce çok ağrı yapıyordu. Sabah 9 da gittiğimizde akşama kadar cerrahın boş vakti yok dendi beklerseniz saat 16.30 te sizi alacak dendi. Bizde akşama kadar bekledik sonra kaydımızı açtır...
Estetik İncim Ağız ve Diş Sağlığı Polikliniği Diş Çekimini Yarıda Bırakıp Gitmesi

17 Aralık Pazar günü şiddetli ağrıyla Arnavutköy İnci Diş Polikliniğine gittim. Röntgen çekildi, buraya kadar hiçbir sorun yoktu. Doktorun yanına gittiğimde ise bana dişin çok kötü durumda olduğunu, normal çekim yapılamayacağını, damakta zarar verebileceğini, dişlerin kırılıp damakta kalabileceğini ...
MHRS (Merkezi Hekim Randevu Sistemi) Röntgen Olmaması Bu Yüzden Bahçelievler'e Gönderilmesi

Masat O**** Diş Hastanesi panoramik çekim yapmıyor, bunun için Bahçelievler'e gönderiyor. Saat 10.30'da olan randevum oraya gidip gelmekle 12:00 oldu ve bir saat de bu yüzden yemek molasını bekledim. Herkes benim gibi bu durumdan şikayetçi ve randevu alırken bu durum belirtilmiyor. Zaten uzak yerler...
Özel Mercan Hastanesi Diş Röntgen Sonucu Verilmiyor
"Mercan Hastanesi'nde gerçekleştirdiğimiz diş muayenesi sonrasında alınan röntgenin ücreti tahsil edilmiş, ancak rapor henüz teslim edilmemiştir. Bu durumu çözmek amacıyla hastane yetkilileriyle iletişime geçmeyi düşünüyoruz. Ancak, ödeme alındıktan sonra yaşanan bu aksaklık bizi hayal kırıklığına u...
Dentistanbul Amatör Bir Hizmet

19.11.2023 Tarihinde Dentistanbul Beşiktaş şubesine dolgum düştüğü için başvurdum dolgu fiyatını sorduğumda pazar günü olduğu için 2400 lira olduğunu normalde 2000 lira olduğunu söylediler bu konuda sorunum yok okeyledim. Devamında röntgen çekimi için ayrı ücretlendirme yapıldı bu konuda da sorunum ...
Antalya Eğitim ve Araştırma Hastanesi Diş Tedavi Sorunu
Antalya Eğitim ve Araştırma hastanesine bağlı Güzeloba Diş hastanesine haziran ayı kontrole gittiğimde röntgen çekilip hiçbir sorunum olmadığı bildirilmiştir. 3 ay sonra bir dişimde kırılma ve diğer dişimde iltihaplanma nedeniyle tekrar gittiğimde 3 ay önceki röntgen kullanılmış, daha da zorlanırsam...
Sanita Sağlık Grubu Sanita Diş Kliniği Tedavi Ve Ücret Konusunda Yanıltıcı Ve Güvensiz
Sanita Diş Hastanesi Okmeydanı şubesinde implant muayenesine gittim. Muayeneden önce röntgen ve diş panoraması çekildi. Diş hekimi, implant yapılamayacağını, kemik grefti tedavisi uygulanabileceğini ancak bunun için garanti veremediğini ve tedavinin 6 aydan fazla süreceğini söyledi. Ödeme planını gö...
Kartal Ağız Ve Diş Sağlığı Merkezi Bağıran Azarlayan Doktor!
Kartal Ağız Diş Sağlığı Hastanesi azarlayan bağıran Dr. ** ** 08 kasım 2023 bugün saat 14:00 de Dr. E-- --- da randevum vardı saat 13:35 de hastanedeydim Dr. Odasında yoktu gelmemiş bende bankodaki bayana sordum saat 14 de randevum var saat 14:05 doktor yok ne zaman gelecek böyle olur mu tüm doktorl...
İzmir Eğitim Diş Hastanesi Tedavi Etmeyen Diş Doktoru

Eğitim diş Hastanesi 7 Kasım salı günü ***** ***** ***** adlı diş hekimine randevum vardı gittim. Daha içeri girmeden kapının önünde bağırarak sana hiçbir işlem yapmam sadece muayene yaparım dedi. Tabi ben neye uğradığımı şaşırdım ama içeri girdim muayenede bana hiçbir açıklama yapmadı dişim hakkınd...
Özel Medar Hastaneleri Diş Kliniğindeki Deneyimim

31.10.23 tarihin de Gölcük Medar Hastanesi diş kliniğine eşimle gittim. Diş kontrol ve temizlik için; öncelikle kendi kontrol ediyor fakat monitör kapalı ekrandan çürüğü bana gösterecek bir görüntü yok. 20 lik dişlerimde çürüme olduğunu, üst azı disimde kötü bir çürük olduğunu. Ağrım sızım yok bu ar...
Tepebaşı Ağız Ve Diş Sağlığı Eğitim Ve Araştırma Hastanesi İltihaplı Dişe Kanal Tedavisi

13 Ekim'de gitmekte olduğum özel diş kliniğimden doktor, sağ alt dişimde ciddi bir lezyon olduğunu ve tedavi edildikten sonra kanal tedavisi yapılması gerektiğini söyledi. Maddi olarak zorlanacağım için 18 Ekim'de devlet Hastanesi olan Tepebaşı Ağız Diş Sağlığı Merkezi'ne gittim. Doktor **** tarafın...
Okmeydanı Ağız ve Diş Sağlığı Hastanesi Uzman Doktorun Yanlış Dişime Müdahale Etmesi

Okmeydanı ağız ve diş Hastanesi Endodonti bölümünde uzman Dr. Olan B**** G***** adına şikayet yazıyorum normal diş geneline gittim arka azı dişimin üst tarafında çürük oluşmasıyla ağrım vardı beni normal muayeneden sonra Endodonti bölümüne kayıt açıp kanal tedavisi için yönlendirdi. Ben de randevu a...
Medical Park Gaziosmanpaşa Hastanesi CHECK-UP Hizmeti

İstinye Üniversitesi Medical Park Hastanesi Gaziosmanpaşa hastanesinde check-up hizmetinden yararlanmak için randevu aldım. Check-up hizmetinin içinde...
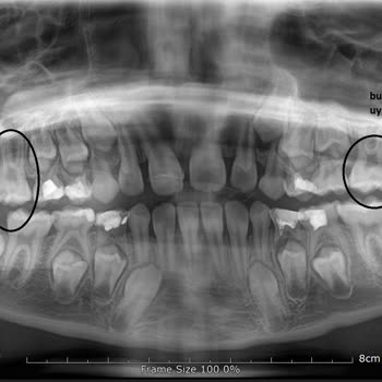
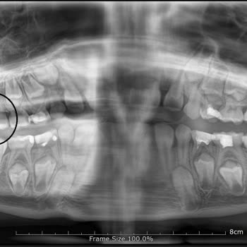
Biruni Üniversitesi Diş Hastanesi Biruni Diş Hastanesinin Röntgen Israrının Yaşattığı Mağduriyet

15 temmuzda lamine on dışım düştü. Özel bir yapıştırıcısı olduğundan ve saat de hastanelerin kapanma saatine yakın olduğundan Biruni diş Hastanesi'ni aradım ve lamine yapıştırıcıların ın ve yapıştırabilecek hekimin orada olup olmadığını sordum ona göre arabayı oraya süreceğimi söyledim. 15- 20 sonra...
Samsun Ağız Ve Diş Sağlığı Hastanesi Röntgen Sırası

Samsun Ağız ve Diş Sağlığı Hastanesinde sadece bir tane periapikal röntgen var. O da içeride iki oda fakat çalışan bir tane. Koca hastanede herkes burada kuyruk olup sıra bekliyor ve çoğu da sabahtan gitmesine rağmen bu sıra yüzünden öğleden sonraya kalıyor. İçeride toplasanız 5 dakika sürmeyen bir ...
Düzce Ağız ve Diş Sağlığı Merkezi Doktor Dişten Anlamıyor!

Düzce Devlet Hastanesi ağız ve diş sağlığı merkezine önceden yaptırdığım dolgu kırıldığı ve ağrı yaptığı için gittim. 10 yıllık doktorlar, bu dişe dokunamayız, siz bir Bolu'ya gidin diyor. Ben ve birkaç hastaya aynı şeyi söyleyip gönderdiler. Nasıl doktor oldular, anlamıyorum. Akşama kadar boş oturu...
Bursa Ağız Ve Diş Sağlığı Doktorun İlgisizliği

5 yaşındaki oğlumun diş çürükleri ve dolgu işlemlerinin acil olarak yapılması gerekli olduğunu daha önce gittiğim 2 doktorunda belirtmesi ve Eğitim ve Araştırma hastanelerinden anestezi altında yapılması gerektiğinden İstanbul'da yaşayıp ancak Bursa Ağız ve Diş sağlığı Eğitim ve Araştırma Hastanesi ...
Hospitadent Diş Hastanesi Pedodontist Hatası Sonrası İlgisizlik
Hospident Fatih şubesinde 2 yılı aşkındır pedodontist d. Ml. İle dişlerimizin kontrol altına olduğunu düşünürken aslında pek de öyle olmadığını anladık. Şöyle ki, 8 yaşındaki çocuğunuzun kalıcı dişlerini korumak adına fissür işlemi yaptırmak için doktorunuz planlama yapıyor. Size başka işlemlerle il...
Alo 184 Hastaneden Randevu Alamıyorum

18.08.2023 saat 11.20 de Trabzon Maçka Ömer Burhanettin Hastanesi Diş Polikliniği'ne randevum vardı. Saatinde orada olmama rağmen Doktor raporlu olduğu için muayene olamadım. Hastanenin o gün röntgen cihazı bozuk olduğu için farklı bir doktora da gittiğimde dişimden röntgenim olmadığı için muayene o...
Bupa Acıbadem Sigorta Tss Sigorta Alakasız Reddedilen İşlemler

Acıbadem TSS Sigorta kapsamında yaşadığımız mağduriyet. 10.08.2023'de Gölcük Medar Hastanesi Ortopedi bölümüne dizdeki ağrı kaynaklı ziyarette; Muayene ve diz röntgen ücreti tss poliçesi tarafından Okey almış, lakin sol diz MR çekimi ücreti tss poliçesi tarafından red almıştır. 780TL MR çekim ücret...
Bupa Acıbadem Sigorta Tamamlayıcı Sağlık Sigortası

Bupa Acıbadem sigortadan yaptırmış olduğum 19248680048633097 numaralı poliçem 14.08.2023 tarihinde Eskişehir Anadolu Hastanesi ortopedi polikliniğine sağ diz şişlik ve ağrı şikayeti ile 41888457 provizyon numaralı başvuru yaptığımda red vermiştir. Ücretini ödedim muayene oldum. Bupa Acıbadem Sigorta...



Son Şikayetler