Elit Güzellik Salonu (Van) İğneli Epilasyon Sonrası Cilt Hasarı, Enfeksiyon Ve Skar
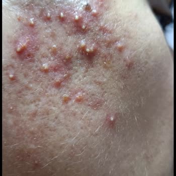
Van Artos iş merkezinde Elit güzellik salonu cildime hasar verdi. İlk görüşmeye gittiğimde cildimin çok hassas olduğunu söylemiştim. Kesin çözüm olacaksa, kıllar bir daha çıkmayacaksa ve cildim buna uygunsa iğneli epilasyon yaptırmak istediğimi söyledim. Kesinlikle skar, leke kalmaz dediler. Biz ros...







Yorumlar (6)