Özel Pırlanta Ağız ve Diş Sağlığı Polikliniği Dişlerimde Hiçbir Temizlik Yapılmadı

Orhan
12 Ekim 2025 21:03
709
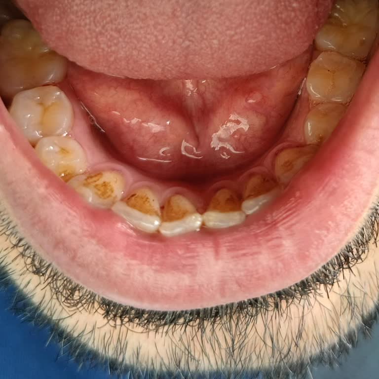
11.10.2025 tarihinde saat 11:35’te Maltepe’deki Pırlanta Diş kliniğinde sigorta kapsamında diş temizliği işlemi yaptırmak için başvurdum. Ancak temizlik işlemi adı altında yapılan uygulamada dişlerimde hiçbir temizlik yapılmadı ve işlemden hiçbir şekilde memnun kalmadım. Konuyu çalışanlarla görüştüğ...


