Ataşehir Ağız ve Diş Sağlığı Hastanesi Diş Sorunu

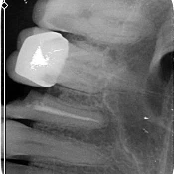
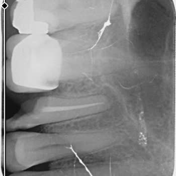
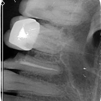
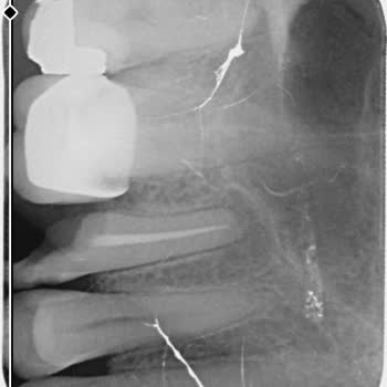
Ataşehir Ağız ve Diş Sağlığı Hastanesi'nde kanal tedavisi olmam gereken dişime 'derin dolgu ile kurtarırız' diyerek derin dolgu yapan Doktor *** nedeniyle sürekli dişimde apse oluşmaya başladı. Kontrole gidip şikayetimi söylediğimde Endodonti bölümüne, yani kanal tedavisi olmam gerektiği söylendi. B...












Yorumlar