

İntermed Sağlık Grubu

Yanlış Tarihli Reçete Ve Eksik Bilgilendirme Mağduriyet Yarattı

20 Ağustos’ta İntermed Nişantaşı Polikliniği’nde E**** Hanım’a göz muayenesi oldum. Muayene sırasında hem gözlük hem de lens kullandığımı ve ikisi içi...
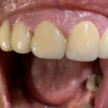
İntermed Çiftehavuzlar Polikliniği Eksik Ve Hatalı Zirkonyum Kuron Tedavisi Nedeniyle Mağduriyet

25.04.2025 tarihinde, Kadıköy/İstanbul’da bulunan İntermed Çiftehavuzlar Diş Polikliniği’nde Diş Hekimi **** tarafından başlatılan tedavim kapsamında, üst damağımda yer alan toplam 13 adet dişime zirkonyum kuron kaplama yapılması amacıyla işlem başlatılmıştır. Ancak bana göre eksik ve hatalı yürütü...
Yanlış Laboratuvar Sonuçlarıyla Hayal Kırıklığı

İntermed Nişantaşı şubesine amh, fsh, lh ve e2 testleri için gittim. 1 gün öncesinde sadece amh testini Memorial hastanesinde yaptırıp 1 gün sonra diğer testlerle birlikte amh ı tekrar vermek istedim. Gelen sonuç beni gerçekten şok etti. Amh ile ilgilenenler 1 günde 0,5 gibi bir fark olamayacağını ç...
Yanlış Yönlendirme Ve İlgisizlik

Gastroenteroloji bölümüne gittim, gayet normal kiloda olmama rağmen şikayetimi dinlemeden diyetisyene yönlendirme yaptı. Aileme, yarısı doktor, bana yüksek kilolu demesi anlattım ve doktorun diplomasından şüphelendiler. Asla H**** Bey'i Çiftehavuzlar'da önermiyorum.
İntermed Sağlık Grubu İntermed Nişantaşı Ve 2 Saat 45 Dakika Bitmeyen MR Eziyeti!

Yıllardır MR çekilen biriyim. Kurumunuzun Nişantaşı şubesine tüm batın kontrastlı MR çekilmek için 23. 08 2024 tarihinde gittim. Hasta kodum CD de yazdığı üzere 355306. Saat 10.30 ta alındığım MR makinesinden saatler sonra 13.15 gibi çıkarıldım! Doğru nefes almama ve tüm komutlara uyan bilinçli bir ...
İntermed Sağlık Grubu Yanlış Teşhis Ve Para Odaklı Yaklaşım

Dr. **** gözümün alt kapağında bulunan arpacık için önce Nişantaşı'nda muayene oldum. Kendisi bizzat bana lazerle bunu yakacağını dile getirerek çifte havuzlarda bu uygulamayı 3 ay aralıkla uyguladı ve başarısız oldu. Daha sonra Şişli Prof. Dr. Cemil Taşçıoğlu Şehir Hastanesi'ne gittiğim göz Dr. Asl...



