Arnavutköy Devlet Hastanesi Ortopedi Uzmanı Değerlendirmesi

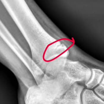
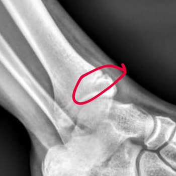
Arnavutköy Devlet Hastanesi'nde cumartesi günü çocuğumun ayağı için acilden giriş yaptık. Röntgen sonrası kırık var deyip alçıya alındı. Pazartesi de ortopediye görünün dendi. Biz de gittik ve doktor bir şeyi yok, 3 gün sonra alçıyı çıkarın dedi. Ben de röntgendeki görüntüde kırık bölgeyi göstererek...







Yorumlar