KlinikaDent Sağlığınızla Oynamak İçin Açılmış Kurum!

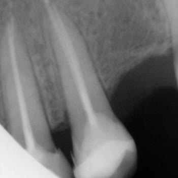
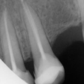
21.02.2024 tarihinde diş ağrısıyla kliniğe başvurdum ve kanal tedavisi olmam gerektiği belirtildi. İşlemlere başlandı. İlk olarak klasik bir şekilde dişin içerisine ilaç koyup beni gönderdiler ve bir hafta sonrası için randevu verdiler. Bu süreç içerisinde ağrılarım azalmadı. İkinci randevuma gittiğ...






Yorumlar