Kadir sonuçtan hiç memnun değil
Dt. Damla Zenar Mağduriyet Yaşama
Kadir
25 Ocak 19:56
1.158
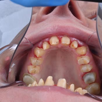
İstanbul Ataşehir’de faaliyet gösteren Damla Zenar isimli diş hekimine, 2023 yılında eşim ve ben birlikte tedavi amacıyla başvurduk. Eşime yapılan kaplamalar başından beri ciddi rahatsızlık verirken, benden ise ücretini Euro olarak tahsil ettiği implant üstü protezleri hiç yapmadı. 2023’te başlayan ...


