Mesam Ağız Diş Sağlığı Polikliniği Şikayeti
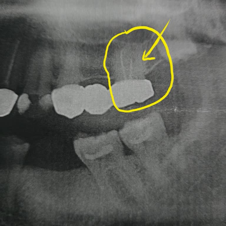
2023 yılında mesam Diş’te bir dişime kanal tedavisi yaptırdım. Tedaviden birkaç ay sonra aynı dişimde tekrar ağrılar başladı ve şikayetlerim giderek arttı. Ağrılarım üzerine tekrar mesam Diş’e gittiğimde, sorunun devam etmesine rağmen benden yeniden ücret talep edildiği için tedaviye devam etmedim....




























